Odontología de Alta Calidad
Para Todos Sus Seres Queridos
Después de graduarse con honores de la Universidad Central de Venezuela en 1997 en Caracas, Venezuela y de trabajar arduamente para convertirse en una estudiante de honor en su país natal, la Dra. Moncada eligió estudiar odontología aquí en los Estados Unidos. Nuevamente fue nombrada estudiante de honor en la Facultad de Medicina Dental de Nova Southeastern University en Florida y se graduó en 2002.
La educación integral de la Dra. Moncada y sus más de dos décadas de experiencia le permiten brindar una atención integral y de calidad a pacientes de todas las edades. Es conocida por ser una excelente oyente que empodera a los pacientes para que tomen decisiones informadas.
El equipo que dirige en Windermere Dental Group tiene la reputación de ser amable, capacitado y enfocado en el paciente. Independientemente de las necesidades de su familia, puede confiar en nosotros para proporcionar sonrisas más hermosas y saludables con el poder de la odontología general, restaurativa, y odontología cosmética, así como la ortodoncia.
Conozca a Nuestra Dentista Dra. Susana Moncada
Dr. Susana Moncada es la dentista en Windermere Dental Group. Su pasión por ayudar a sus pacientes a lograr y mantener una excelente salud bucal no tiene igual. La Dra. Moncada tiene formación avanzada en todo el alcance de las técnicas dentales modernas, incluyendo odontología general, ortodoncia, y odontología cosmetica.
La Dra. Moncada se enfoca en mantener a sus pacientes tranquilos y relajados mientras les brinda atención superior. Es difícil encontrar en Orlando, FL, a una dentista más comprometida con sus pacientes que la Dra. Moncada.

"Excelentes, Amables y Profesionales. Los recomiendo 100%."
Excelente, amable y profesionales, los recomiendo al 100%, desde que entras hasta que sales la atención es excelente
View On GoogleEXCELENTE servicio. Amables y puntuales. Hablan español e inglés. Atienden a toda la familia.
View on GoogleAgende SU CITA DENTAL HOY
"Nuestra práctica dental ofrece a los pacientes una atención integral y conveniente. Valoramos su tiempo y trabajamos arduamente para brindar a usted y a su familia un trabajo dental de calidad de manera oportuna. Al desarrollar un plan de tratamiento, nuestra dentista le explicará todo para que se sienta cómodo antes de tomar una decisión final. Desde limpiezas generales hasta remodelaciones completas de la sonrisa, podemos darle una sonrisa hermosa y saludable.
Los expertos recomiendan visitar al dentista al menos una vez cada seis meses para mantener una salud bucal óptima. Si ha pasado un tiempo desde su última cita con un dentista, le invitamos a programar una cita en Windermere Dental Group en Orlando, FL, ¡hoy mismo!
Agende su cita contactandonos en linea or llamandonos: contactandonos en linea or calling:

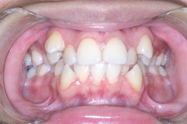
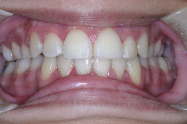
Creamos Transformaciones Increíbles Observa Nuestros Resultados Reales
La Dra. Moncada logra sus impresionantes mejoras desarrollando planes de tratamiento personalizados. Ella crea maquetas precisas de tus resultados proyectados para que sepas exactamente qué esperar. Mira por ti mismo los increíbles resultados que su tratamiento de ortodoncia logró para este paciente de Orlando.
Explora Nuestros Procedimientos Destacados
Coronas Dentales
Un diente que ha sido comprometido debido a un traumatismo o caries puede causar dolor, dificultar la masticación y el habla, y hacerte sentir inseguro/a. Ya sea que tu diente haya sufrido un traumatismo o haya sido sometido a un procedimiento como un tratamiento de conducto, una corona dental puede protegerlo de un daño adicional y evitar la necesidad de extracción. Hecha de materiales modernos duraderos que están diseñados para imitar las propiedades de reflexión de la luz de tus dientes naturales, una corona dental puede durar una década o más.
Implantes Dentales
Los implantes dentales reemplazan las raíces de los dientes perdidos. Mantienen los puentes, las coronas y las dentaduras firmemente en su lugar, permitiéndote masticar y hablar adecuadamente. Mientras tanto, la ausencia de raíces dentales provoca la deterioración del tejido óseo en el hueso maxilar. Dejado sin tratar, la atrofia del hueso maxilar comenzará a hacer que los dientes circundantes comiencen a desplazarse, lo que lleva a una apariencia facial hundida y envejecida. Los implantes son el único tratamiento en la odontología moderna demostrado para detener la atrofia del hueso maxilar.
Carillas Dentales
Incluso si tienes una excelente salud bucal, tu sonrisa puede parecer poco saludable si está afectada por dientes desgastados, astillados o ligeramente torcidos. Las carillas dentales son finas cáscaras de porcelana hechas a medida para ocultar las imperfecciones que pueden tener un impacto negativo en la apariencia de tu sonrisa. Fabricadas con el mismo porcelana de grado médico que las coronas, las carillas dentales se combinan en color con tus dientes circundantes para una apariencia perfecta. Para los pacientes que buscan una opción mínimamente invasiva, también ofrecemos carillas sin preparación previa.
Tratamiento de Conducto
Cuando la caries llega al tejido interno de un diente, la infección puede causar varios síntomas dolorosos. Si se ignora lo suficiente, se puede perder el diente infectado. Un tratamiento de conducto elimina el tejido interno del diente infectado, aliviando el dolor, eliminando la infección y preservando la estructura exterior del diente. A pesar de lo que hayas escuchado, un tratamiento de conducto es virtualmente indoloro, y una vez completado, elimina la necesidad de extracción. Si experimentas dolor de dientes, sensibilidad repentina al calor y al frío, o un sabor desagradable repentino en la boca, es posible que necesites un tratamiento de conducto.
Tratamiento de Ortodoncia
Nuestros servicios de ortodoncia pueden corregir problemas de alineación como dientes apiñados o torcidos, desalineación mandibular, sobremordidas o mordidas cruzadas. Para pacientes interesados en ortodoncia, en Windermere Dental Group en Orlando, FL, podemos ofrecer tanto brackets tradicionales como sistemas de alineadores transparentes como Invisalign® y ClearCorrect™. Si no estás seguro/a de qué opción es la adecuada para ti, nuestro dentista puede evaluar tus necesidades y presentarte opciones durante una consulta gratuita. Nuestro objetivo es ayudarte a tomar la elección más informada sobre tu ortodoncia.
Nuestra Lista Completa de Servicios Dentales
- Odontología General
- Ortodoncia
- Periodoncia
- Pediatría
- Tratamientos de Conducto
- Extracción de Cordales
- Tratamiento de Flúor
- Odontología Restaurativa
- Puentes Dentales
- Dentaduras
- Invisalign
- Implantes Dentales
- Empastes Dentales
- Onlays
- Reconstrucción Bucal
- Odontología Cosmética
- Invisalign y ClearCorrect
- Renovación de Sonrisa
- Carillas Dentales
- Blanqueamiento Dental
- Dental bonding
- Emergencias Dentales
Participamos con la mayoría de los Seguros PPO
-
Delta Dental
-
Metlife
-
Cigna
-
Guardian
-
Humana
-
Principal
-
Aetna
-
Humana Medicare
-
Ameritas
-
Mutual of Omaha
-
Liberty Dental
-
Solstice
-
Unum
-
Y muchos más.
"Toman el tiempo para atenderte y aclarar tus dudas"
Desde el primer momento la atención fue muy esmerada y en español, ellos resolvieron todo el tema con el seguro dental, los recomiendo ampliamente.
View on GoogleEl trato es excelente. Muy profesionales. Toman tiempo para atenderte y aclarar tus dudas. Recomendados.
View on Google¿Está buscando un dentista o clínica dental en Orlando?

Ya sea que usted tenga seguro o no, usted puede obtener servicios dentales de calidad de Windermere Dental Group.
Windermere Dental Grupo ofrece atención dental para toda la familia, desde la odontología pediátrica a los servicios dentales generales. Así que si necesitas coronas, empastes del color del diente, endodoncia o trateamiento de conducto, puentes, implantes dentales, parciales, dentaduras o incluso una reconstrucción bucal completa, nosotros lo hacemos todo.
Servicios Generales Dentales para residentes de Orlando
Si usted necesita una arreglar una carie, pero no quiere un relleno metálico desagradable en la boca, Windermere Dental Group ofrece empastes del color del diente. Los rellenos compuestos que ofrecemos están hechas de resinas que pueden ser mezclados para que coincida con el color de sus dientes - para que pueda obtener un excelente sello en el diente afectado que también es invisible.
Y si perdistes un diente o una muela rota está afectando tu sonrisa, te podemos ayudar a corregir ese problema con un implante dental. Los implantes dentales son permanentes y son más fuertes que los puentes o prótesis dentales, y el procedimiento es simple y eficaz.
*(Codes: D0150, D0140, D0274, D0330, D0220). ONLY FOR PATIENTS WITHOUT INSURANCE. THE PATIENT AND ANY OTHER PERSON RESPONSIBLE FOR PAYMENT HAS A RIGHT TO REFUSE TO PAY, CANCEL PAYMENT, OR BE REIMBURSED FOR PAYMENT FOR ANY OTHER SERVICE, EXAMINATION, OR TREATMENT THAT IS PERFORMED AS A RESULT OF AND WITHIN 72 HOURS OF RESPONDING TO THE ADVERTISEMENT FOR THE FREE, DISCOUNTED FEE, OR REDUCED FEE SERVICE, EXAMINATION, OR TREATMENT













