
Invisalign
Podemos Ayudarte
Dr. Susana Moncada is a Venezuelan native who earned her Doctor of Dental Medicine degree from Florida's Nova Southeastern University. She proudly serves both English- and Spanish-speaking patients.
What Exactly Is Invisalign?
And Why Do People Choose It Over Braces?

Invisalign is an orthodontic treatment that straightens teeth through the use of clear aligners. It has been used to improve over 15 million smiles. Invisalign is so popular because it uses clear aligners to fix misalignment. These aligners are significantly less noticeable than the bands, brackets, and wires required by traditional braces. Thanks to the discreet aligners, many people will never know you are undergoing an Invisalign treatment plan.
Traditional braces are attached to teeth throughout the entirety of a treatment plan. Invisalign aligners are removable and can be taken out of your mouth for two hours each day. This allows you to brush, floss, drink, and eat comfortably without having to navigate around your orthodontic appliance. Invisalign aligners also avoid the breakage and emergency repair trips that can occur with the metal brackets and wires of braces.
Invisalign Can Correct Many Orthodontic Issues
Invisalign can solve a vast array of misalignment problems. These include:
- Underbites
- Overbites
- Open bites
- Crossbites
- Gapped teeth
- Crowded teeth
The issues discussed above can lead to more than just a less-than-perfect appearance. Misalignment can raise your risk of dental issues like gum disease and tooth decay. Using Invisalign aligners to fix misalignment can beautify your smile and prevent these problems.
We Offer Invisalign Attachments
Invisalign fixes misalignment by gradually pushing your teeth into the correct position. In more serious misalignment cases, your clear aligners may need an additional boost to gain desired results. Aligner attachments are tooth-colored tools that are affixed to teeth to achieve specific, precise straightening. We offer various aligner attachments that we can personalize to your needs.
Request Your Brand New Smile
With Invisalign clear aligners, you can obtain a straight, healthy, functional smile in anywhere from 12 to 18 months. The Windermere Dental Group team has personally seen how empowering this journey can be for a patient. The tangible benefits of Invisalign are matched by a major confidence boost.
We offer free consultations and strive to complete treatments as swiftly as possible. To learn more about how you can start your journey to a straighter smile, all you have to do is reach out.
407-294-1132

Orlando, FL, Leaves 5-Star Reviews
The staff was amazing with all the exams and the help working with the insurance.
View on GoogleThe best service I have been enjoying for past 20 years!!!!!!!!!
View on GoogleFrequently Asked Questions About Invisalign Cost
Is Invisalign more expensive than traditional braces?
In general, the cost of Invisalign is comparable to the cost of traditional braces. The specific cost of treatment depends on your individual case and unique dental needs. The best way to learn about treatment costs with aligners is to visit our Orlando dental practice for a consultation.Is Invisalign covered by insurance?
Sometimes, dental insurance provides partial coverage for Invisalign. We can help determine if your carrier will provide benefits.Do you offer financing?
Yes, we want all Orlando patients to have the smiles they deserve. We offer third-party financing through CareCredit® and Fifth Third Bank. These options let you break your orthodontics payments into manageable monthly installments.The Invisalign Timeline
Dr. Moncada can straighten your smile in as little as 12 months with Invisalign aligners.
You Do Not Need
an Orthodontist
To Receive Invisalign
It is a common misconception that you can only receive Invisalign from an orthodontist. This is not the case. A highly skilled dentist like Dr. Moncada is perfectly capable of providing effective straightening treatment with aligners that matches or exceeds what an orthodontist provides.
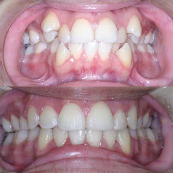
Dr. Moncada has decades of experience completing life-changing orthodontics care. Here you can see a before and after from one of the many patients who have trusted their smile to her instead of seeking out a specialized orthodontist.

Braces Do Have Major Benefits
For some patients, braces might be a better choice than aligners. Aligners work best with mild to moderate misalignment; a patient who requires very complex misalignment corrections may need braces.
Some people, especially children and teens, may also actually benefit from the irremovability of braces. Because they are in 24/7, patients can't misplace or forget to wear their braces.
More 5-Star Reviews From Orlando, FL
Excellent service. The staff of Windermere DG is very professional. And Dr. Susana Moncada does her best so that her patients feel confident to leave their dental health in her hands.
View on GoogleI’ve had several visits to this office and have been very pleased with the care I have received. Dr. Moncado is very patient and works very diligently to make the dental visit as painless as possible.
View on Google






