Hablamos Español
Dr. Susana Moncada is a Venezuelan native who is proud to serve patients who speak Spanish or English. She came to Florida in 1999 to earn her Doctor of Dental Medicine degree from Nova Southeastern University College of Dental Medicine and has been serving The Sunshine State ever since.
Our Office Is Truly Elegant
Windermere Dental Group's Orlando office is in the beautiful, modern MetroWest neighborhood. This community was created in the 1980s with the express purpose of hosting thriving businesses with eye-catching aesthetics.
Our Venice, Italy-inspired office building was built in 2008, giving it an even more modern feel. The orange and yellow tones of the exterior are impossible to miss. The fountain you pass by in our lobby provides a relaxing atmosphere.
Once inside our office, you will enjoy a homey environment full of welcoming dental team members. We have flat-screen televisions in each treatment room and also offer video goggles so you can enjoy great movies and shows during your appointment.
"Amazing service, very friendly and helpful with my insurance. They made me feel at home, definitely my dentist of preference." 5-Star Google Review, Emy Menjivar
Directions, Hours, and Contact Info For Windermere Dental Group
Save time on your dental search by choosing a quality dentist in a convenient location. We provide dental care that is just a 10-minute drive north of Olympia High School. Coming from the other direction would take only a 15-minute drive south of Lotte Plaza Market.
Learn More About Dr. Moncada
Dr. Moncada is the owner and leading dentist of Windermere Dental Group. She took on the mantle of being a business owner because she wanted to create a unique environment where generations of Orlando patients could receive truly quality care.
Dr. Moncada completed her dental education in 2002. She has spent more than two decades since then honing her abilities across a spectrum of procedures. She is known for providing comprehensive care to patients of all ages. Treating everyone from children to seniors allows entire families to receive quality care under one roof instead of having to search for several dentists.
To receive outstanding care from our trusted dentist, all you have to do is reach out. Give us a call or send us a message to request your consultation.
407-294-1132

Our Dentist Is a Member Of Omicron Kappa Upsilon
/
Omicron Kappa Upsilon is a dentistry honors society that was first formed in 1914. It has since expanded to serve the majority of dental schools across the United States and Canada. Dr. Moncada earned her membership by graduating within the top 12% of her graduating class at Fort Lauderdale's Nova Southeastern University College of Dental Medicine.
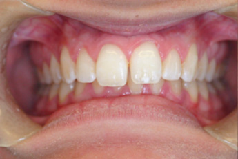
See Stunning Results Achieved For Orlando Patients
Orlando Raves About Our Dentist
It was a pleasure visiting Windermere Dental with the warm welcome and treatment received, I look forward to getting dental services here and recommending others to this office. Thank you!
View on GoogleI am so happy to have found Dr. Moncada and her excellent team. As a person who feared going to the dentist I feel I am in good hands and am now able to feel safe in their care. Thank you!
View on GoogleWe Offer a Full Suite of Dental Care
Depending on your needs and goals, patients at our Orlando office may benefit from:
- General dentistry
- Orthodontics
- Periodontics
- Pediatrics
- Root canals
- Wisdom tooth extraction
- Fluoride treatment
- Restorative dentistry
- Dental bridges
- Dentures
- Dental implants
- Dental fillings
- Onlays
- Full mouth reconstruction
- Cosmetic dentistry
- Invisalign and ClearCorrect
- Smile makeover
- Veneers
- Teeth whitening
- Dental bonding
- Dental emergencies
*(Codes: D0150, D0140, D0274, D0330, D0220). ONLY FOR PATIENTS WITHOUT INSURANCE. THE PATIENT AND ANY OTHER PERSON RESPONSIBLE FOR PAYMENT HAS A RIGHT TO REFUSE TO PAY, CANCEL PAYMENT, OR BE REIMBURSED FOR PAYMENT FOR ANY OTHER SERVICE, EXAMINATION, OR TREATMENT THAT IS PERFORMED AS A RESULT OF AND WITHIN 72 HOURS OF RESPONDING TO THE ADVERTISEMENT FOR THE FREE, DISCOUNTED FEE, OR REDUCED FEE SERVICE, EXAMINATION, OR TREATMENT











